Erase una vez, el hígado : enfermedades y afecciones.

Erase una vez, el hígado : enfermedades y afecciones.

Este artículo es el siguiente de un artículo precedente sobre el hígado.


Este órgano vital está dotado de más de 500 funciones, de las cuales cada una puede dar lugar a disfuncionamientos. Como sostiene a casi todos los otros órganos, sus enfermedades nunca son localizadas, más bien tienen efectos generalizados. Estos pueden manifestarse de múltiples maneras, lo que complica el diagnóstico.

Como el hígado es a la par un filtro y una barrera entre la cavidad abdominal y la cavidad torácica, es sensible a las infecciones. Uno de sus principales objetivos es filtrar la sangre a la búsqueda de bacterias y de virus. Habitualmente, el sistema inmunitario neutraliza cualquier amenaza detectada, sin embargo una ola suficientemente importante de material infeccioso puede provocar una hepatitis.



Un filtro y una barrera a veces frágil

La causa más habitual de esta inflamación del hígado es viral. Esta afección lleva el nombre de una familia de virus, las hepatitis A, B, C, D y E, entre las cuales algunas son sexualmente transmisibles. La infección crónica por las hepatitis B y C es la principal causa de cáncer del hígado. En el mundo, 248 millones de personas sufren de una infección crónica por la hepatitis B, y 142 millones de una infección crónica por la hepatitis C. Los otros sospechosos habituales de hepatitis pertenecen a la familia de los Herpesviridae, como el virus del herpes simplex. Los virus de la hepatitis A y de la hepatitis E provocan raramente inflamaciones crónicas, mientras que la hepatitis D sólo puede infectar una célula en presencia de la hepatitis B. Una hepatitis extrema puede provocar una encefalopatía hepática, un cúmulo de toxinas en la sangre habitualmente eliminadas por el hígado. Este estado es la fase final de la insuficiencia hepática y es susceptible de ser fatal o provocar un coma.


Los tumores del hígado, aunque generalmente sospechados de provenir de una infección viral, también pueden ser atribuidos a diversos factores internos y externos. La predisposición genética siempre tiene un papel en la formación de tumores, pero no es el único factor intrínseco. Las hormonas, y sobre todo los factores de crecimiento, también pueden acelerar, hasta provocar la tumorogénesis.


Los factores externos pueden ir desde la exposición hasta las radiaciones y a los productos químicos, al tabaquismo, al desequilibrio nutricional, al alcoholismo y al mal modo de vida general – todos tienen un impacto profundo sobre la formación de los tumores del hígado. Es particularmente sensible a los estímulos externos, porque es a la par un embudo de sangre y un tamiz, y el único tejido del hombre adulto que puede de manera razonable y continua regenerarse. Así, cualquiera sea el origen de la toxina – inhalación de humo de tabaco, consumo de alcohol fuertes o de alimentos transformados-, terminará en el hígado. Y hay grandes posibilidades de que una de estas células que se regeneran vea su ADN modificado para volverse una célula tumoral.



El alcohol, un enemigo peligroso

Las enfermedades relacionadas con el consumo excesivo de alcohol están agrupadas bajo el término de enfermedad alcohólica del hígado, e incluyen la hepatitis alcohólica, la esteatosis hepática y la cirrosis. Numerosas enfermedades del hígado se acompañan de una ictericia causada por un aumento de la tasa de bilirrubina en el sistema. La bilirrubina resulta de la descomposición de la hemoglobina de los glóbulos rojos muertos. Normalmente, el hígado elimina la bilirrubina de la sangre y la excreta por la bilis pero, un hígado dañado u ocupado por una hepatitis, no está en capacidad de cumplir este papel. Es el caso en la hepatitis alcohólica, donde los pacientes también presentan una hepatomegalia (hipertrofia del tejido hepático), una ascitis (retención de líquido en la cavidad abdominal) y cansancio.

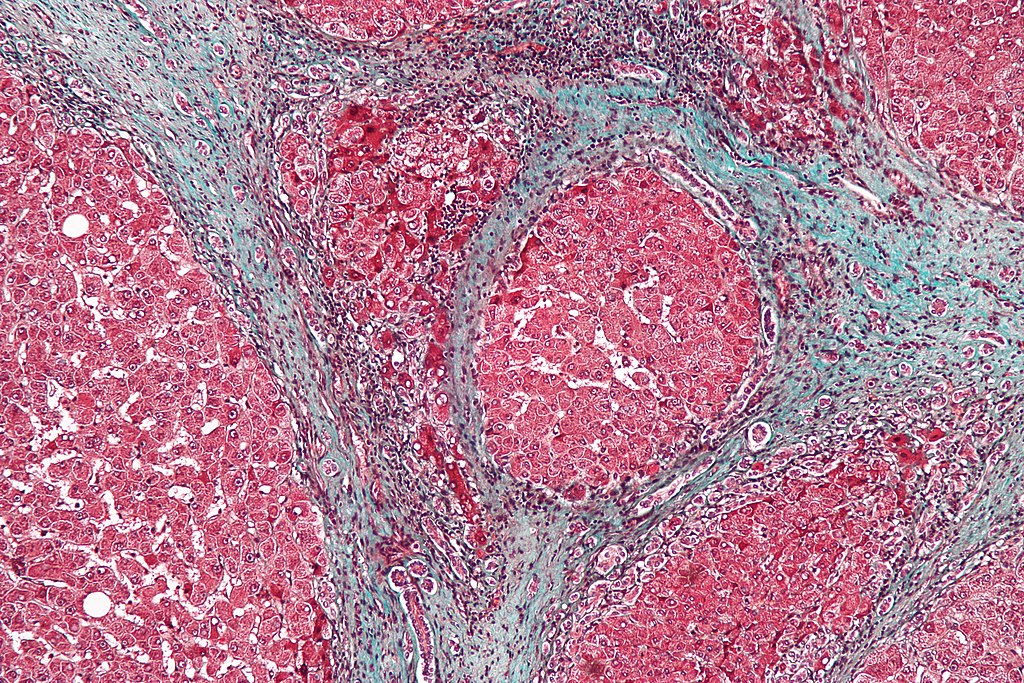
El hígado graso, también conocido bajo el nombre de esteatosis hepática, es generalmente la primera etapa de la hepatitis alcohólica cuando unas células grasas reemplazan o se añaden a las células funcionales del hígado. Se acompaña de síntomas ligeros, el más importante siendo una ligera hepatomegalia. La cirrosis es el resultado final de un mal tratamiento o de una enfermedad del hígado, siendo alteradas las funciones hepáticas por culpa de la formación del tejido cicatricial donde las células regeneradas deberían encontrarse. Este tejido fibroso reemplaza el tejido hepático normal y funcional a medida del tiempo, lo que vuelve rápidamente el hígado inutil.

 


Foto 1: Micrografía enseñando una cirrosis con marcas de tricroma. By Nephron, CC BY-SA 3.0, https://commons.wikimedia.org/w/index.php?curid=7844681.
La causa más común de las cirrosis en el mundo occidental es el abuso de alcohol- la causa de la cirrosis en este caso



El mejor arma, la prevención

Más allá de estas enfermedades, existen otras numerosas enfermedades hepáticas menos extendidas. Es el caso de la mayoría de las afecciones, el mejor tratamiento es la prevención. Para que el hígado siga siendo funcional y útil durante muchos años, es importante saber cómo funciona [enlace hipertexto hacia el artículo precedente]. Gracias a estos conocimientos, podemos evitar fumar, beber y consumir drogas de manera excesiva, y adoptar una alimentación equilibrada. Para determinar el bienestar del hígado, un médico efectúa generalmente una prueba de la función hepática, también llamado panel hepático. Se trata de un grupo de análisis sanguíneos apuntando específicamente las enzimas y los subproductos del hígado. 


La bilirrubina es el subproducto del hema, un precursor de la hemoglobina responsable de la distribución del oxígeno. El hígado es responsable de su aclaramiento, y todo valor superior a 17 μmol/L indica una enfermedad del hígado. Cuando la tasa de bilirrubina total supera los 40 μmol/L, los depósitos de bilirrubina al niveau de las escleroticas, de la piel y de las mucosis dan a estas zonas un color amarillo, también llamado ictera.


ALT es la abreviación de alanina transaminasa, enzima presente en los ciclos energéticos de los músculos (más precisamente los ciclos de Cahill y de Cori). Cualquier tipo de lesión hepática provoca una elevación del ALT. Sin embargo, unas elevaciones bajas del ALT (hasta 300 UI/L) pueden indicar problemas con otros órganos, tales como los riñones, el corazón, mientras que unos valores elevados del ALT están relacionadas con lesiones del hígado, una respuesta reducida a la insulina, una tolerancia reducida a la glucosa, un aumento de los ácidos grasos libres y unos triglicéridos.


El AST, aspartate transaminase, es asociado al ALT en las pruebas hepáticas porque se encuentra casi exclusivamente en el hígado, mientras que el AST se encuentra en el hígado, el corazón (músculo cardiaco), los músculos esqueléticos, los riñones, el cerebro y los glóbulos rojos. Por consiguiente, el ALT es un indicador más específico de la inflamación del hígado que el AST, porque esta última también puede ser elevada en las enfermedades afectando otros órganos.



Búsqueda permanente de herramientas de diagnóstico

Los científicos siempre están en busca de mejores métodos de detección de enfermedades, más fáciles y no invasivas. Y para el hígado, esto significa unas pruebas que podrían efectuarse sin extracción de sangre. Por ejemplo, una prueba que permitiría determinar el estado del hígado a partir de la orina o de la saliva disminuiría a la par su coste y su molestia ( las complicaciones potenciales) que algunos pacientes pueden sentir en cuanto a las extracciones de sangre. Varias pruebas están en fase de experimentos, desde el diagnóstico vía parches cutáneos hasta la imaginería de órganos, pero todavía tendrán que ver una larga aplicación.



Fuentes :

  1. Evaluating intrinsic and non-intrinsic cancer risk factors. Song Wu, Wei Zhu, Patricia Thompson and Yusuf A Hannun. NATURE COMMUNICATIONS| (2018) 9:3490 |DOI: 10.1038/s41467-018-05467-z|www.nature.com/naturecommunications
  2. Mengel, Mark B.; Schwiebert, L. Peter (2005). Family medicine: ambulatory care & prevention. McGraw-Hill Professional. p. 268. ISBN 978-0-07-142322-9.
  3. Lisa B, VanWagner (3 February 2015). "Evaluating Elevated Bilirubin Levels in Asymptomatic Adults". Journal of the American Medical Association. 313 (5): 516–517. doi:10.1001/jama.2014.12835. PMC 4424929. PMID 25647209.
  4. Abdel-Misih, Sherif R.Z.; Bloomston, Mark (2010). "Liver Anatomy". Surgical Clinics of North America. 90 (4): 643–653.
  5. Zakim, David; Boyer, Thomas D. (2002). Hepatology: A Textbook of Liver Disease (4th ed.). ISBN 9780721690513.
  6. https://www.hopkinsmedicine.org/health/conditions-and-diseases/liver-anatomy-and-function
  7. https://www.stanfordchildrens.org/en/topic/default?id=anatomy-and-function-of-the-liver-90-P03069


Comentario ( 0 ) :
6 m
19 de noviembre de 2024
Autores
Compartir

Suscríbete a nuestro boletín

Publicamos contenido regularmente, manténgase actualizado suscribiéndose a nuestro boletín.