Los protectores de nuestro sistema neuronal, tan complicados como su nombre: los oligodendrocitos

Los protectores de nuestro sistema neuronal, tan complicados como su nombre: los oligodendrocitos

Cuando hablamos del cerebro, imaginamos una maraña de neuronas que intercambian datos con una velocidad vertiginosa, chispas de electricidad que las atraviesan y que determinan lo que vamos a hacer y cómo comportarnos. Todas estas chispas podrían seguramente provocar un incendio. Los oligodendrocitos impiden esto, y mucho más…


Derivados de numerosas palabras de idiomas desaparecidos desde hace mucho tiempo, los oligodendrocitos son visualmente lo que su nombre implica: oligo = un poco; dendron = un árbol; citos=células. Su nombre literal significa «célula con algunas ramas» (o árboles). Son células de apoyo que aseguran el aislamiento y la estabilidad tridimensional y cuidan de 86 000 000 000 neuronas, y ocupan una parte de las 85 000 000 000 células no neuronales de cada cerebro humano.  


Al igual que los cables eléctricos, las neuronas intercambian datos por medio de impulsos eléctricos. Si estos cables cargados se tocaran donde se supone que no deberían, podrían pasar muchas cosas negativas, desde la pérdida de información hasta un apagón total. Afortunadamente, nuestros oligodendrocitos nos respaldan. O, más precisamente, respaldan a nuestras neuronas. Su cuerpo principal se compone de cierto número de ramas (o árboles) que se enroscan alrededor de axones neuronales del sistema nervioso central, un poco como un cable aislante se enrosca alrededor de un cable de cobre. Esta capa protectora se llama mieloma, y es esencial para ayudar al flujo de datos a llegar a su destino con seguridad. 

 

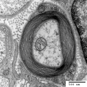
Oligodendrocito mielinizando un axón. Crédito : Andrew C.


 

La mielina es un compuesto rico en lípidos (grasas) que contribuye a aumentar la estabilidad y la velocidad de los impulsos eléctricos que atraviesan los axones. Su color blanco lechoso es la razón por la cual nuestro cerebro se divide en materia blanca y materia gris. La sustancia blanca es la región donde se ubican la mayoría de los axones neuronales mielinizados, lo que proporciona un contraste blanco, mientras que la sustancia gris contiene principalmente somas (cuerpos) de células neuronales. El papel aislante de la mielina es esencial para la función motriz normal (movimiento), la función sensorial (sentir el frío, ver, oír) y la cognición. Se presenta bajo la forma de vainas de mielina, cada una de ella cubriendo alrededor de 1µm del axón y formando un aislamiento semi-continuo separada por cortos espacios llamados nodos de Ranvier. Funcionan como un sistema de escapatoria de los túneles que canalizan el exceso de datos e infunden estímulos medioambientales en el sistema axón-mielina.

Si el cerebro crece en tamaño, también crece en contenido

Los oligodendrocitos son las últimas células de nuestro cerebro que se forman y maduran plenamente. Mientras que la mayoría del resto decélulas soportan su madurez durante su periodo fetal o poco tiempo después de su nacimiento, los oligodendrocitos esperan a que el trabajo de base de la estructura en 3D del cerebro esté terminado, luego empiezan a reforzarla y a aislarla. La mielinización sólo prevalece en algunas regiones del cerebro al nacer, y se continúa por lo menos hasta el final de la veintena. Esto tiene numerosas implicaciones sobre el desarrollo mental del hombre, su capacidad para estudiar, pero también para modificar su comportamiento, su pensamiento y sus costumbres. Se ha sugerido que la presencia de mielina está en correlación positiva con el QI en los niños y  en las proezas mentales en las personas ancianas. Su capacidad para propagar impulsos eléctricos (flujo de datos a través de las neuronas) también es una de las razones por las cuales los recién nacidos son más lentos para reaccionar y parecen estar rezagados en relación a los estímulos exteriores. Ya que sus neuronas se vuelven cada vez más mielinizadas, los recién nacidos empiezan a trepar, a andar y a comprender los esquemas del lenguaje.

A medida que las neuronas forman nuevas conexiones y que aprendemos más datos, una parte de esta estructura tridimensional que sostienen los oligodendrocitos deberá cambiar. Una de las principales influencias que los oligodendrocitos ejercen fuera de la propagación de señales es la plasticidad cerebral. Se trata de su capacidad para amoldarse y modificarse a medida que se presentan nuevos datos, nuevas experiencias y nuevas conclusiones. En otras palabras, es la capacidad del cerebro humano para crecer de manera continua, no solo en tamaño, sino también en contenido. Esto significa que el trabajo de los oligodendrocitos nunca termina, y que son nuestras nuevas experiencias y su capacidad de reorganización lo que nos hacen más inteligentes. Entonces, pregúntate: ¿cuándo fue la ultima vez que hiciste algo por primera vez?

Existe una ligera diferencia entre la mielinización del sistema nervioso central (cerebro y médula espinal) y la del sistema nervioso periférico. Los oligodendrocitos son muy útiles para  proporcionar un apoyo tridimensional, pero no son necesarios en un nervio periférico, donde no hay neuronas adyacentes. En vez de oligodendrocitos, el sistema nervioso periférico se dota de células de Schwann. Tienen la misma función que su homólogo, pero el cuerpo celular es aplastado en las vainas de mielina en vez de estar en el exterior de estas. La segunda gran diferencia es que una célula de Schwann tan solo puede fabricar una única vaina, lo que significa que hacen falta más para aislar la misma superficie. 

 

 

Célula de Schwann mielinizando un axón en el SNP, con su cuerpo en la zona superior. Crédito : Roadnottaken

Las consecuencias de la pérdida de mielina

La pérdida de mielina puede provocar cierta cantidad de enfermedades y afecciones que aún hoy son incurables. Una de las más importantes es la esclerosis múltiple, en la cual la mielinización está perturbada o por un sistema inmunitario demasiado sensible o por la incapacidad de los oligodendrocitos y de las células de Schwann para excretar la mielina. Los traumatismos corporales, tales como las lesiones de la médula espinal, también pueden provocar una desmielinización, así como algunos virus. En cualquier caso, los síntomas son similares y el tratamiento incluye la mejora de la calidad de vida y el control de los daños. Como la desmielinización perturba la transferencia de señales y la comunicación, los síntomas incluyen problemas físicos (ceguera del ojo, debilidad muscular, dificultades de sensación y de coordinación), mentales (pérdida de funciones en el cerebro, olvido, pérdida de memoria); y, a veces, psiquiátricos (cambios de humor, alucinaciones).

La falta de aislamiento provoca un deterioro de las neuronas, lo que causa problemas más graves, como la parálisis de algunas partes del cuerpo.

Varios estudios fueron realizados para intentar trasplantar células de Schwann sanas para inducir  una remielinización en los pacientes afectados por la esclerosis múltiple. Se intentó trasplantarlas también a las lesiones de la médula espinal, tanto para favorecer el crecimiento de axones como su remielinización, con un éxito limitado.

 

Fuentes : 

1. Bhatheja, K ; Field, J (2006). "Cellules de Schwann : origines et rôle dans le maintien et la régénération des axones". The International Journal of Biochemistry & Cell Biology. 38 (12) : 1995-9. doi:10.1016/j.biocel.2006.05.007. PMID 16807057.

2. Bean, Bruce P. (juin 2007). "The action potential in mammalian central neurons". Nature passe en revue les neurosciences. 8 (6) : 451-465. doi:10.1038/nrn2148. ISSN 1471-0048. PMID 17514198. S2CID 205503852.

3. Carlson, Neil (2010). Physiology of Behavior. Boston, MA : Allyn & Bacon. pp. 38–39. ISBN 978-0-205-66627-0.

4. Fields, Douglas (18 février 2008). "White Matter Matters". Scientific American. 298 (mars 2008) : 54-61. Bibcode:2008SciAm.298c..54D. doi:10.1038/scientificamerican0308-54. PMID 18357821.

5. Hartline DK (mai 2008). "Qu'est-ce que la myéline ? Neuron Glia Biology. 4 (2) : 153-63. doi:10.1017/S1740925X09990263. PMID 19737435. S2CID 33164806.

6. Thomas, JL ; Spassky, N ; Perez Villegas, EM ; Olivier, C ; Cobos, I ; Goujet-Zalc, C ; Martínez, S ; Zalc, B (15 février 2000). "Développement spatio-temporel des oligodendrocytes dans le cerveau embryonnaire". Journal of Neuroscience Research. 59 (4) : 471-6. doi:10.1002/(SICI)1097-4547(20000215)59:4<471::AID-JNR1>3.0.CO;2-3. PMID 10679785.

7. Vallstedt A., Klos J. M., Ericson J. Multiple Dorsoventral Origins of Oligodendrocyte Generation in the Spinal Cord and Hindbrain. Neuron, volume 45, numéro 1, 6 janvier 2005, pages 55-67. https://doi.org/10.1016/j.neuron.2004.12.026

8. Sokol, Stacey. "La physiologie et la pathophysiologie de la sclérose en plaques". Sclérose en plaques : Tutoriel de physiologie. Archivé à partir de l'original le 2012-07-16. Récupéré le 2012-04-29.

9. Stadelmann, Christine ; Timmler, Sebastian ; Barrantes-Freer, Alonso ; Simons, Mikael (2019-07-01). "La myéline dans le système nerveux central : Structure, fonction et pathologie". Examens physiologiques. 99 (3) : 1381-1431. doi:10.1152/physrev.00031.2018. ISSN 1522-1210. PMID 31066630.

10. Stassart, Ruth M. ; Möbius, Wiebke ; Nave, Klaus-Armin ; Edgar, Julia M. (2018). "L'unité Axon-Myéline dans le développement et les maladies dégénératives". Frontiers in Neuroscience. 12 : 467. doi:10.3389/fnins.2018.00467. ISSN 1662-4548. PMC 6050401. PMID 30050403.

11. Swire M, Ffrench-Constant C (mai 2018). "Voir, c'est croire : Myelin Dynamics in the Adult CNS". Neuron. 98 (4) : 684-686. doi:10.1016/j.neuron.2018.05.005. PMID 29772200. 


Comentario ( 0 ) :
10 de febrero de 2021
Autores
Compartir

Suscríbete a nuestro boletín

Publicamos contenido regularmente, manténgase actualizado suscribiéndose a nuestro boletín.