Il était une fois le foie : maladies et affections

Il était une fois le foie : maladies et affections

Cet article est la suite d'un article précédent sur le foie.

Cet organe vital est doté de plus de 500 fonctions, dont chacune peut donner lieu à des dysfonctionnements. Comme il soutient presque tous les autres organes, ses maladies ne sont jamais localisées, mais ont plutôt des effets généralisés. Ceux-ci peuvent se manifester de multiples façons, ce qui complique le diagnostic.

 


Comme le foie est à la fois un filtre et une barrière entre la cavité abdominale et la cavité thoracique, il est sensible aux infections. L'un de ses principaux objectifs est de filtrer le sang à la recherche de bactéries et de virus. Habituellement, le système immunitaire neutralise toute menace détectée, cependant une vague suffisamment importante de matériel infectieux peut provoquer une hépatite.



Un filtre et une barrière parfois fragile


La cause la plus habituelle de cette inflammation du foie est virale. Cette affection porte le nom d'une famille de virus, les hépatites A, B, C, D et E, dont certaines sont sexuellement transmissibles. L'infection chronique par les hépatites B et C est la principale cause de cancer du foie. Dans le monde, 248 millions de personnes souffrent d'une infection chronique par l'hépatite B, et 142 millions d'une infection chronique par l'hépatite C. Les autres suspects habituels d'hépatite appartiennent à la famille des Herpesviridae, comme le virus de l'herpès simplex. Les virus de l'hépatite A et de l'hépatite E provoquent rarement des inflammations chroniques, tandis que l'hépatite D ne peut infecter une cellule qu'en présence de l'hépatite B. Une hépatite extrême peut provoquer une encéphalopathie hépatique, une accumulation de toxines dans le sang habituellement éliminées par le foie. Cet état est le stade final de l'insuffisance hépatique et est susceptible d’être fatal ou entraîner un coma.

Les tumeurs du foie, bien que généralement soupçonnées de provenir d'une infection virale, peuvent également être attribuées à divers facteurs internes et externes. La prédisposition génétique joue toujours un rôle dans la formation des tumeurs, mais elle n'est pas le seul facteur intrinsèque. Les hormones, et surtout les facteurs de croissance, peuvent également accélérer, voire déclencher la tumorogenèse.

Les facteurs externes peuvent aller de l'exposition aux radiations et aux produits chimiques, au tabagisme, au déséquilibre nutritionnel, à l'alcoolisme et à un mauvais mode de vie général - tous ont un impact profond sur la formation des tumeurs du foie. Il est particulièrement sensible aux stimuli externes, car il est à la fois un entonnoir à sang et un tamis, et le seul tissu de l'homme adulte qui peut raisonnablement et continuellement se régénérer. Ainsi, quelle que soit l'origine de la toxine - inhalation de fumée de tabac, consommation d'alcools forts ou d'aliments transformés -, elle finira dans le foie. Et il y a de fortes chances que l'une de ces cellules qui se régénèrent voie son ADN modifié pour devenir une cellule tumorale.



L’alcool, un ennemi dangereux


Les maladies liées à la consommation excessive d'alcool sont regroupées sous le terme de maladie alcoolique du foie, et comprennent l'hépatite alcoolique, la stéatose hépatique et la cirrhose. De nombreuses maladies du foie s'accompagnent d'une jaunisse causée par une augmentation du taux de bilirubine dans le système. La bilirubine résulte de la décomposition de l'hémoglobine des globules rouges morts. Normalement, le foie élimine la bilirubine du sang et l'excrète par la bile mais, un foie endommagé ou occupé par une hépatite, n'est pas en mesure de remplir ce rôle. C'est le cas dans l'hépatite alcoolique, où les patients présentent également une hépatomégalie (hypertrophie du tissu hépatique), une ascite (rétention de liquide dans la cavité abdominale) et de la fatigue.

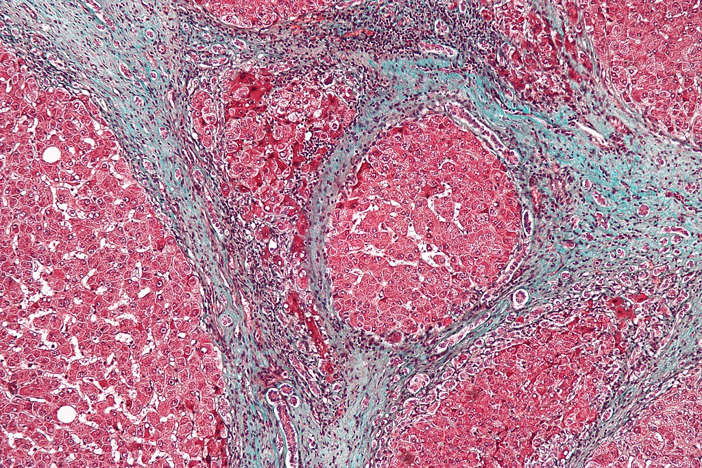
Le foie gras, également connu sous le nom de stéatose hépatique, est généralement la première étape de l'hépatite alcoolique lorsque des cellules graisseuses remplacent ou s'ajoutent aux cellules fonctionnelles du foie. Elle s'accompagne de symptômes légers, le plus important étant une légère hépatomégalie. La cirrhose est le résultat final d'un mauvais traitement ou d'une maladie du foie, les fonctions hépatiques étant altérées en raison de la formation de tissu cicatriciel là où les cellules régénérées devraient se trouver. Ce tissu fibreux remplace le tissu hépatique normal et fonctionnel au fil du temps, rendant rapidement le foie inutile. 


Picture 1:Micrographie montrant une cirrhose avec coloration au trichrome . By Nephron, CC BY-SA 3.0, https://commons.wikimedia.org/w/index.php?curid=7844681.

La cause la plus fréquente de cirrhose dans le monde occidental est l'abus d'alcool - la cause de la cirrhose dans ce cas.

 


La meilleure arme, la prévention


Outre ces maladies, il existe de nombreuses autres maladies hépatiques moins répandues. Et comme c'est le cas pour la plupart des affections, le meilleur traitement est la prévention. Pour que le foie reste fonctionnel et utile pendant de nombreuses années, il est important de savoir comment il fonctionne. Grâce à ces connaissances, nous pouvons éviter de fumer, de boire et de consommer des drogues de manière excessive, et adopter une alimentation équilibrée. Pour déterminer le bien-être du foie, un médecin effectue généralement un test de la fonction hépatique, également appelé panel hépatique. Il s'agit d'un groupe d'analyses sanguines visant spécifiquement les enzymes et les sous-produits du foie.

La bilirubine est le sous-produit de l'hème, un précurseur de l'hémoglobine responsable de la distribution de l'oxygène. Le foie est responsable de sa clairance, et toute valeur supérieure à 17 μmol/L indique une maladie du foie. Lorsque le taux de bilirubine totale dépasse 40 μmol/L, les dépôts de bilirubine au niveau des sclérotiques, de la peau et des muqueuses donnent à ces zones une couleur jaune, également appelée ictère.

ALT est l'abréviation d'alanine transaminase, enzyme présente dans les cycles énergétiques des muscles (plus précisément les cycles de Cahill et de Cori). Tout type de lésion hépatique entraîne une élévation de l'ALT. Cependant, des élévations faibles de l'ALT (jusqu'à 300 UI/L) peuvent indiquer des problèmes avec d'autres organes, tels que les reins ou le cœur, tandis que des valeurs élevées de l'ALT sont liées à des lésions du foie, une réponse réduite à l'insuline, une tolérance réduite au glucose et une augmentation des acides gras libres et des triglycérides.

L'AST, aspartate transaminase, est associée à l'ALT dans les tests hépatiques car elle se trouve presque exclusivement dans le foie, tandis que l'AST se trouve dans le foie, le cœur (muscle cardiaque), les muscles squelettiques, les reins, le cerveau et les globules rouges. Par conséquent, l'ALT est un indicateur plus spécifique de l'inflammation du foie que l'AST, car cette dernière peut également être élevée dans les maladies affectant d'autres organes.

 


Recherche permanente d'outils de diagnostic


Les scientifiques sont toujours à la recherche de méthodes de détection des maladies meilleures, plus faciles et non invasives. Et pour le foie, cela signifie des tests qui pourraient être effectués sans prise de sang. Par exemple, un test qui permettrait de déterminer l'état d'un foie à partir de l'urine ou de la salive diminuerait à la fois son coût et la gêne (et les complications potentielles) que certains patients peuvent éprouver à l'égard des prises de sang. Plusieurs tests sont en phase d'essai, allant du diagnostic par patchs cutanés à l'imagerie d'organes, mais il faudra encore qu'ils voient une large application…


 

Références :

  1. Evaluating intrinsic and non-intrinsic cancer risk factors. Song Wu, Wei Zhu, Patricia Thompson and Yusuf A Hannun. NATURE COMMUNICATIONS| (2018) 9:3490 |DOI: 10.1038/s41467-018-05467-z|www.nature.com/naturecommunications
  2. Mengel, Mark B.; Schwiebert, L. Peter (2005). Family medicine: ambulatory care & prevention. McGraw-Hill Professional. p. 268. ISBN 978-0-07-142322-9.
  3. Lisa B, VanWagner (3 February 2015). "Evaluating Elevated Bilirubin Levels in Asymptomatic Adults". Journal of the American Medical Association. 313 (5): 516–517. doi:10.1001/jama.2014.12835. PMC 4424929. PMID 25647209.
  4. Abdel-Misih, Sherif R.Z.; Bloomston, Mark (2010). "Liver Anatomy". Surgical Clinics of North America. 90 (4): 643–653.
  5. Zakim, David; Boyer, Thomas D. (2002). Hepatology: A Textbook of Liver Disease (4th ed.). ISBN 9780721690513.
  6. https://www.hopkinsmedicine.org/health/conditions-and-diseases/liver-anatomy-and-function
  7. https://www.stanfordchildrens.org/en/topic/default?id=anatomy-and-function-of-the-liver-90-P03069


Commentaire ( 0 ) :
8 février 2023
Auteurs
Partager

S'inscrire à notre newsletter

Nous publions du contenu régulièrement, restez à jour en vous abonnant à notre newsletter.