Les protecteurs de notre système neuronal aussi complexes que leur nom : les oligodendrocytes

Les protecteurs de notre système neuronal aussi complexes que leur nom : les oligodendrocytes

Lorsque l'on parle du cerveau, on imagine un enchevêtrement de neurones qui échangent des informations à une vitesse vertigineuse, des étincelles d'électricité qui les traversent et qui déterminent ce que nous allons faire et comment nous comporter. Toutes ces étincelles pourraient certainement provoquer un incendie. Les oligodendrocytes empêchent cela, et bien plus encore…

Dérivés de plusieurs mots de langues disparues depuis longtemps, les oligodendrocytes sont visuellement ce que leur nom implique : oligo = peu ; dendron = arbre ; cytes = cellules. Leur nom littéral signifie "cellule à quelques branches" (ou arbres). Ce sont des cellules de soutien qui assurent l'isolation et la stabilité tridimensionnelle et prennent soin de 86 000 000 000 de neurones, et occupent une partie des 85 000 000 000 de cellules non neuronales de chaque cerveau humain.

Tout comme les fils électriques, les neurones échangent des informations par le biais d'impulsions électriques. Si ces fils chargés se touchaient là où ils ne sont pas censés le faire, beaucoup de choses négatives pourraient se produire, allant de la perte d'informations à un black-out total. Heureusement, nos oligodendrocytes nous ont couverts. Ou, plus précisément, ils couvrent nos neurones. Leur corps principal est constitué d'un certain nombre de branches (ou arbres) qui s'enroulent autour des axones neuronaux du système nerveux central, un peu comme un câble isolant s'enroule autour d'un fil de cuivre. Cette couche protectrice est appelée myéline, et elle est essentielle pour aider le flux d'informations à arriver à destination en toute sécurité.   

 

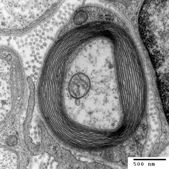
Oligodendrocyte myélinisant un axone. Crédit : Andrew C.

 

La myéline est un composé riche en lipides (gras) qui contribue à augmenter la stabilité et la vitesse des impulsions électriques qui traversent les axones. Sa couleur blanche laiteuse est la raison pour laquelle notre cerveau est divisé en matière blanche et en matière grise. La substance blanche est la région où se trouvent la plupart des axones neuronaux myélinisés, ce qui fournit le contraste blanc, tandis que la substance grise contient principalement des soma (corps) de cellules neuronales. Le rôle isolant de la myéline est essentiel pour la fonction motrice normale (mouvement), la fonction sensorielle (sentir le froid, voir, entendre) et la cognition. Elle est présente sous forme de gaines de myéline, chacune couvrant environ 1 µm de l'axone et formant une isolation semi-continue séparée par de courts espaces appelés nœuds de Ranvier. Ils fonctionnent comme un système d'échappement des tunnels qui canalisent l'excès d'informations et infusent des stimuli environnementaux dans le système axone-myéline.  


Si le cerveau croît en taille, il croît également en contenus

Les oligodendrocytes sont les dernières cellules de notre cerveau qui se forment et mûrissent pleinement. Alors que la plupart des autres cellules subissent leur maturation au cours de la période fœtale ou peu après la naissance, les oligodendrocytes attendent que le travail de base de la structure 3D du cerveau soit fait, puis commencent à la renforcer et à l'isoler. La myélinisation n'est prévalente que dans quelques régions du cerveau à la naissance, et se poursuit largement jusqu'à la fin de la vingtaine. Cela a de nombreuses implications sur le développement mental de l'homme, sa capacité à étudier, mais aussi à modifier son comportement, sa pensée et ses habitudes. Il a été suggéré que la présence de myéline est en corrélation positive avec le QI chez les enfants, et les prouesses mentales chez les personnes âgées. Leur capacité à propager des impulsions électriques (flux d'informations à travers les neurones) est également l'une des raisons pour lesquelles les nouveau-nés sont plus lents à réagir et semblent être à la traîne par rapport aux stimuli extérieurs. Comme leurs neurones sont de plus en plus myélinisés, les nouveau-nés commencent à ramper, à marcher et à comprendre les schémas de langage.

À mesure que les neurones forment de nouvelles connexions et que nous apprenons plus d'informations, une partie de cette structure tridimensionnelle que soutiennent les oligodendrocytes devra changer. L'une des principales influences que les oligodendrocytes exercent en dehors de la propagation des signaux est la plasticité cérébrale. Il s'agit de leur capacité à se mouler et à se modifier au fur et à mesure que de nouvelles informations, de nouvelles expériences et de nouvelles conclusions se présentent. En d'autres termes, c'est la capacité du cerveau humain à croître continuellement, non seulement en taille, mais aussi en contenu. Cela signifie que le travail des oligodendrocytes n'est jamais terminé, et ce sont nos nouvelles expériences et leur capacité de réorganisation qui nous rendent plus intelligents. Alors demandez-vous : c’était quand la dernière fois que vous avez fait quelque chose pour la première fois ?

 

Il existe une légère différence entre la myélinisation du système nerveux central (cerveau et moelle épinière) et celle du système nerveux périphérique. Les oligodendrocytes sont très utiles pour fournir un soutien tridimensionnel, mais ils ne sont pas nécessaires dans un nerf périphérique, où il n'y a pas de neurones adjacents. Au lieu d'oligodendrocytes, le système nerveux périphérique est doté de cellules de Schwann. Elles ont la même fonction que leur homologue, mais le corps cellulaire est aplati sur les gaines de myéline au lieu d'être à l'extérieur de celles-ci. La deuxième grande différence est qu'une cellule de Schwann ne peut fabriquer qu'une seule gaine, ce qui signifie qu'il en faut davantage pour isoler la même surface.  

Cellule de Schwann myélinisant un axone dans le SNP, avec son corps dans la zone supérieure. Crédit : Roadnottaken


Les conséquences de la perte de myéline

La perte de myéline peut entraîner un certain nombre de maladies et d'affections qui sont encore incurables à ce jour. L'une des plus importantes est la sclérose en plaques, dans laquelle la myélinisation est perturbée soit par un système immunitaire trop sensible, soit par l'incapacité des oligodendrocytes et des cellules de Schwann à excréter la myéline. Les traumatismes corporels, telles que les lésions de la moelle épinière, peuvent également provoquer une démyélinisation, ainsi que certains virus. Dans tous les cas, les symptômes sont similaires, et le traitement comprend l'amélioration de la qualité de vie et le contrôle des dommages. Comme la démyélinisation perturbe le transfert des signaux et la communication, les symptômes comprennent des problèmes physiques (cécité d'un œil, faiblesse musculaire, difficultés de sensation et de coordination), mentaux (perte de fonctions dans le cerveau, oublis, perte de mémoire) et parfois psychiatriques (changements d'humeur, hallucinations).

Le manque d'isolation entraîne une détérioration des neurones, ce qui provoque des problèmes plus graves, comme la paralysie de certaines parties du corps. 

Plusieurs études ont été réalisées pour tenter de transplanter des cellules de Schwann saines afin d'induire une remyélinisation chez les patients atteints de sclérose en plaques. Leur transplantation a également été tentée dans des lésions de la moelle épinière, à la fois pour favoriser la repousse des axones et leur remyélinisation, avec un succès limité.    

 

Références : 

1. Bhatheja, K ; Field, J (2006). "Cellules de Schwann : origines et rôle dans le maintien et la régénération des axones". The International Journal of Biochemistry & Cell Biology. 38 (12) : 1995-9. doi:10.1016/j.biocel.2006.05.007. PMID 16807057.

2. Bean, Bruce P. (juin 2007). "The action potential in mammalian central neurons". Nature passe en revue les neurosciences. 8 (6) : 451-465. doi:10.1038/nrn2148. ISSN 1471-0048. PMID 17514198. S2CID 205503852.

3. Carlson, Neil (2010). Physiology of Behavior. Boston, MA : Allyn & Bacon. pp. 38–39. ISBN 978-0-205-66627-0.

4. Fields, Douglas (18 février 2008). "White Matter Matters". Scientific American. 298 (mars 2008) : 54-61. Bibcode:2008SciAm.298c..54D. doi:10.1038/scientificamerican0308-54. PMID 18357821.

5. Hartline DK (mai 2008). "Qu'est-ce que la myéline ? Neuron Glia Biology. 4 (2) : 153-63. doi:10.1017/S1740925X09990263. PMID 19737435. S2CID 33164806.

6. Thomas, JL ; Spassky, N ; Perez Villegas, EM ; Olivier, C ; Cobos, I ; Goujet-Zalc, C ; Martínez, S ; Zalc, B (15 février 2000). "Développement spatio-temporel des oligodendrocytes dans le cerveau embryonnaire". Journal of Neuroscience Research. 59 (4) : 471-6. doi:10.1002/(SICI)1097-4547(20000215)59:4<471::AID-JNR1>3.0.CO;2-3. PMID 10679785.

7. Vallstedt A., Klos J. M., Ericson J. Multiple Dorsoventral Origins of Oligodendrocyte Generation in the Spinal Cord and Hindbrain. Neuron, volume 45, numéro 1, 6 janvier 2005, pages 55-67. https://doi.org/10.1016/j.neuron.2004.12.026

8. Sokol, Stacey. "La physiologie et la pathophysiologie de la sclérose en plaques". Sclérose en plaques : Tutoriel de physiologie. Archivé à partir de l'original le 2012-07-16. Récupéré le 2012-04-29.

9. Stadelmann, Christine ; Timmler, Sebastian ; Barrantes-Freer, Alonso ; Simons, Mikael (2019-07-01). "La myéline dans le système nerveux central : Structure, fonction et pathologie". Examens physiologiques. 99 (3) : 1381-1431. doi:10.1152/physrev.00031.2018. ISSN 1522-1210. PMID 31066630.

10. Stassart, Ruth M. ; Möbius, Wiebke ; Nave, Klaus-Armin ; Edgar, Julia M. (2018). "L'unité Axon-Myéline dans le développement et les maladies dégénératives". Frontiers in Neuroscience. 12 : 467. doi:10.3389/fnins.2018.00467. ISSN 1662-4548. PMC 6050401. PMID 30050403.

11. Swire M, Ffrench-Constant C (mai 2018). "Voir, c'est croire : Myelin Dynamics in the Adult CNS". Neuron. 98 (4) : 684-686. doi:10.1016/j.neuron.2018.05.005. PMID 29772200. 


Commentaire ( 0 ) :
10 février 2021
Auteurs
Partager

S'inscrire à notre newsletter

Nous publions du contenu régulièrement, restez à jour en vous abonnant à notre newsletter.